【专家请到家门口 看病何需到处走】医共体外聘(请)专家指导我院泌尿外科团队成功完成院内首例肾癌患者“腹腔镜下肾部分切除术”
专家助力 ,“保肾”治疗新选择

近日,在医共体专家工作站外请专家-贵州医科大学附属医院副主任医师钟渠梁博士带领下,我院泌尿外科团队成功为一名肾肿瘤患者实施“腹腔镜下肾部分切除术”,凭借精准的微创技术完整切除肿瘤并最大限度保留健康肾组织。该手术的成熟开展标志着医院在肾脏肿瘤微创治疗上更进一步,为更多早期肾癌患者提供了“保肾”治疗新选择。

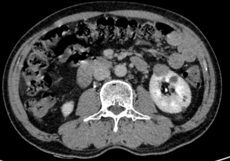
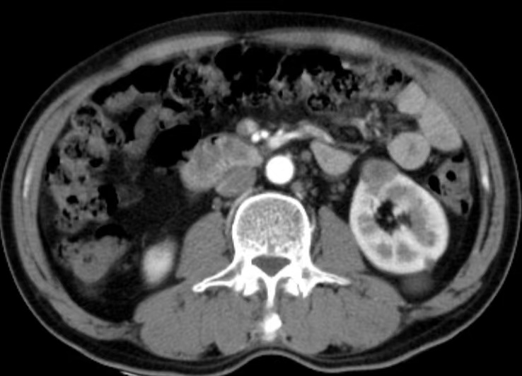
患者是一名60多岁男性,因“CT发现左肾占位”入院,完善泌尿系增强CT示“左肾肿瘤,考虑恶性可能”。


腹部增强CT
随后,我院泌尿外科迅速组织科室团队进行病情讨论及多学科专家会诊,在贵州医科大学附属医院泌尿外科专家的指导下,对病情、身体状况等关键因素进行全面、细致的评估,患者手术指征明确,医疗团队决定采用具有创伤小、恢复快、术后并发症少等优势的腹腔镜下肾部分切除术。
在与患者及家属深入交流并征得同意后,经过充分的术前准备与麻醉团队的保驾护航,在我院泌尿外科团队与贵州医科大学附属医院泌尿外科钟渠梁博士的协作下,成功为患者实施了“腹腔镜下肾部分切除术”。手术全程进展顺利,术后患者生命体征稳定。



左肾肿瘤

病理诊断:乳头状细胞癌

知识科普
据悉,腹腔镜下肾部分切除术是国际公认的早期肾癌(T1期)首选治疗方式。相较于传统开放性手术,该技术仅需在患者腹部开3~4个0.5~1厘米的小孔,通过腹腔镜高清影像系统放大病灶区域,结合精细操作器械,实现肿瘤的精准剥离和周围健康肾组织的完整保留。术后患者疼痛轻、恢复快,住院时间可缩短至3~5天,且长期肾功能保护效果显著,极大提升了患者术后生活质量。腹腔镜手术要求医生具备极高的操作熟练度,既要彻底切除肿瘤确保无残留,又要快速缝合肾脏创面避免大出血和术后并发症。
肾癌是泌尿系统常见恶性肿瘤,我国每年新发病例约7.5万例。早期肾癌通常无明显症状,定期体检(如B超、CT)是发现疾病的关键。未来我们将继续推进肾脏肿瘤的个体化治疗,通过学科协作(MDT)模式为复杂病例制定最优方案,让更多患者在家门口享受高水平的微创医疗服务。
我院腹腔镜下肾癌切除术的成功开展,不仅是一项技术的突破,它推动科室在技术、科研、教学及服务能力上实现全方位提升,为患者提供更优质、更人性化的医疗服务,同时也为我院泌尿外科在微创时代的创新发展注入了强劲动力。未来,科室将持续推进肾癌诊疗规范化、微创化与个体化,为患者提供更优质、更安全的医疗服务。

科室简介
泌尿外科
晴隆县人民医院泌尿外科成立于2016年7月,同时名医工作室——“程跃尿路结石晴隆工作室”落户我院泌尿外科。
目前泌尿外科医务人员共21名,副高医师1名,主治医师1名、住院医师5名,主管护师4名,护师6名、护士4名;外聘专家7名。
具有的设备:腹腔镜、输尿管镜、多功能肾镜、输尿管软镜、离子色谱仪、钬激光、体外冲击波碎石机、体外振动排石床、定位B超机、前列腺电切镜、结石成分分析仪、尿流率等。
相关手术设备在黔西南州均处于先进水平,可开展泌尿微创手术:经皮肾镜、经输尿管镜、经输尿管软镜、经尿道膀胱镜钬激光碎石取石术,经尿道前列腺蓝激光汽化术,经腹腔镜肾囊肿去顶减压术,经输尿管镜输尿管狭窄扩张、钬激光内切开术、经腹腔镜肾癌根治术、前列腺癌根治术等微创手术。对急诊急救有着丰富的经验。
科室宗旨:一切为了患者;为了患者的一切;为了一切患者;我用我的专业知识、服务质量及医疗技术为您的健康保驾护航。
科室地址:外科住院楼(3号楼)9楼
科室电话:0859-<
